Lung health and lung cancer assessments
At Harley Street Medical Centre, our team of experienced professionals utilises advanced diagnostic tools and techniques to accurately assess lung health and detect any potential signs of serious illnesses like lung cancer. We provide comprehensive evaluations, including pulmonary function tests, imaging scans, and other related investigations, to ensure a thorough assessment of each patient's condition. Additionally, we offer personalised treatment plans and ongoing support to help patients manage their lung health effectively.
Specialist lung health assessment
UME Health is pleased to be partnering with an award-winning team of Consultant Cardiothoracic Radiologists, Heart & Lung Health (H&L), to launch a bespoke lung health assessment service. Combined with UME Health's new low-dose CT scanner, H&L’s unique network of chest imaging experts are able to detect early signs of lung disease - including lung cancer and COVID-related lung scarring.
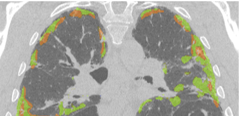
Our subspecialist chest radiology experts use cutting-edge Artificial Intelligence (AI) software to interpret your low-dose CT chest scan and provide a detailed lung health assessment. Our service is designed both for patients with symptoms as well as those with identified risk factors for lung disease, including lung cancer. H&L chest experts provide a detailed lung health report within 2 days.
Our partnership with "Heart & Lung Health"
UME Health is pleased to have partnered with Heart & Lung Health. As a partner, we will work together to provide an innovative service that utilises our leading-edge medical technologies and Heart & Lung Health's Consultant Cardiothoracic Radiologists who have a wealth of experience in providing specialist chest and cardiac imaging services. Our collaboration is one that will support at-risk patients before symptoms have developed, enabling the diagnosis of lung cancer at an earlier stage and allowing an assessment of overall lung health, to drive positive patient outcomes and further enhance the high-quality of care we currently deliver.

Our pricing
Lung health assessment
A low dose CT scan with cutting edge AI enables detailed measurement of emphysema and the early diagnosis of lung fibrosis, including long COVID lung scarring.
Fee: £595 which includes a full written report in 2 working days.
Lung cancer assessment
H&L’s award-winning expertise in the detection of lung nodules on CT scans is specifically tailored to provide a diagnosis of lung cancer at its earliest, curable stage.
Fee: £595 which includes a full written report in 2 working days.
Our UME Health Promise
Lung health assessment FAQs
UME Group LLP. Registration number: OC333533. A Company Registered in England and Wales. Registered office: 17 Harley Street, London, W1G 9QH ©Copyright 2024 - UME Group LLP. Built and maintained by Pulse Digital Health